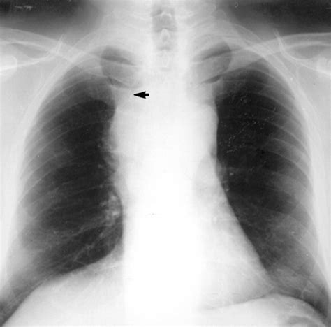
what is vena cava obstruction
what is vena cava obstruction. There are some references to what is vena cava obstruction in this article. If you are looking for what is vena cava obstruction you've came to the right place. We have posts about what is vena cava obstruction. You can check it out below.
Showing posts matching the search for what is vena cava obstructionBlog Archive
-
▼
2023
(136)
-
▼
May
(40)
- Alvin Bragg For Da
- What Is Investigation Evaluation
- Nashville Shooting January 2023
- What Is Investigation In Criminology
- What Is Indictment Oca
- Mlb Opening Day Starters 2023
- Mlb Opening Day Nationals
- Shooting At Funeral In Nashville Tn
- Mlb Opening Day 2023 Stats
- What Is Investigation Noun
- What Is Indictment Summary
- Mlb Opening Day Prop Bets
- Nashville Armory Shooting Range
- Nashville Outdoor Shooting Range
- Mlb Opening Day 2023 Times
- State Holidays Vs Federal Holidays: What's The Dif...
- Shooting At Double Dogs Nashville
- Mlb Opening Day Lineups Quiz
- Nashville Blooming Festival Shooting
- What Is The Indictment Of Grand Jury
- Alvin Bragg Lee Zeldin
- What Is Investigation Report
- Mlb Opening Day Delay
- Nashville Airport Shooting Today
- 2023 Mlb Opening Day
- What Is Geotechnical Investigation
- Mlb Opening Day Matchups
- Mlb Opening Day Font
- Remembering Father Damien: Stories Of Miracles And...
- What Is Investigation Geography
- Mlb Opening Day No Hitter
- Emancipation Day: Remembering The End Of Slavery I...
- What Happened To Stormy Daniels Lawyer
- Mlb Opening Day Schedule 2023
- Shooting Range Downtown Nashville
- What Kind Of Word Is Indictment
- What Is Conviction Chicken On Doordash
- How Does An Indictment Work
- Comparing Orthodox And Western Holy Saturday Obser...
- Mlb Opening Day Best Games
-
▼
May
(40)
Total Pageviews
Search This Blog
Powered by Blogger.
